Homepage
Products
Archer 577
Yellow Laser Photocoagulator with Sub-Threshold Technology
Aglaia 577
Intelligent Navigated Laser System
Mona IV
Adaptive Optics Scanning Laser Ophthalmoscope
Saris
Multi-Modal Ophthalmic Imaging System Designed for Animals
Nuage Vi
Auto Axial length/Refractometer
Roadto
®
Vision
Soft Contact Lenses
Colored Hydrogel Daily Disposable Contact Lens
Colored Hydrogel Monthly Disposable Contact Lens
Silicone Hydrogel Daily Disposable Contact Lens
Silicone Hydrogel Myopia Control Daily Disposable Contact Lens
News
About
Applications
Precise Diagnosis
Functions
Reflectance
Phase Contrast
Perfusion
Montage
Demotion Video
Diseases
Diabetic Retinopathy - Microaneurysm
Diabetic Retinopathy - Artery
Diabetic Retinopathy - Capillary
Glaucoma - Microsysts
Retinitis Pigmentosa
Hydroxychloroquine Toxic Retinopathy
Laser Damage
High Myopia & IOL
Outer Retina Degeneration
Precise Treatment
Traceable Microsecond Pulse Laser Therapy
Central Serous Chorioretinopathy
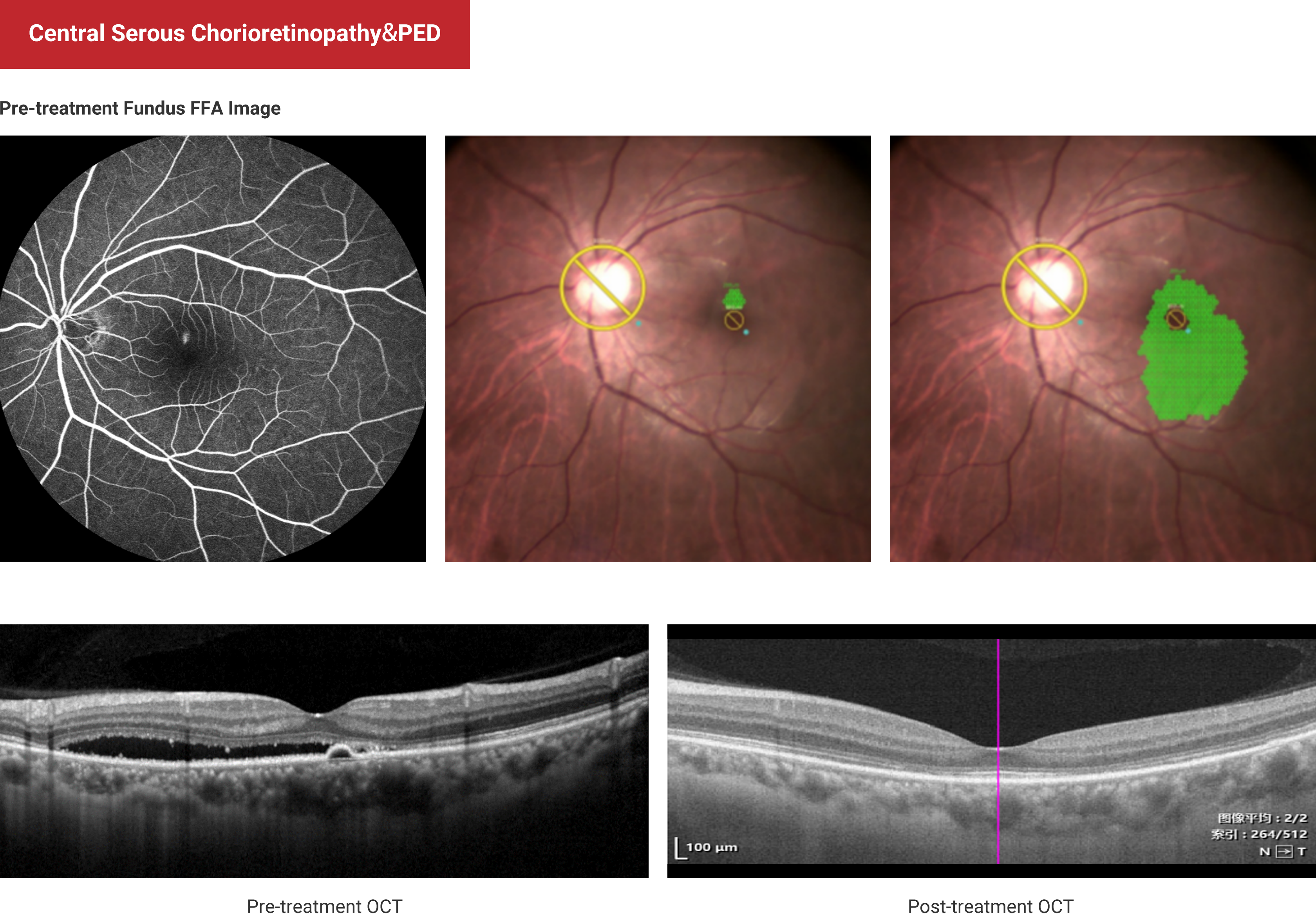
Central Serous Chorioretinopathy&PED
Coat's Combined With Macular Edema
Targeted Precision Laser Therapy
Polypoidal Choroidal Vasculopathy
Central Serous Chorioretinopathy
Diabetic Retinopathy
Pan Retinal Photocoagulation
Diabetic Retinopathy
Scientific Research
Multi-Modal Imaging
Neurosensory Retinal Detachment
Retinitis Pigmentosa
Choroidal Neovascularization
Retinal Angiomatosus Proliferation
Uveitis
Contact
中文
Traceable Microsecond Pulse Laser Therapy