首页
产品
承光
®
577nm眼底纯黄激光
秩光
®
眼底智能导航激光机器人
星镜
®
自适应光学眼底影像系统
皓镜
®
小动物眼科多模影像系统
丞镜
®
自动验光仪
路得瞳
®
软性接触镜
水凝胶彩色日抛
水凝胶彩色月抛
硅水凝胶日抛
硅水凝胶近视防控日抛
新闻中心
关于博视
应用
精准诊断
功能
正常结构
病种
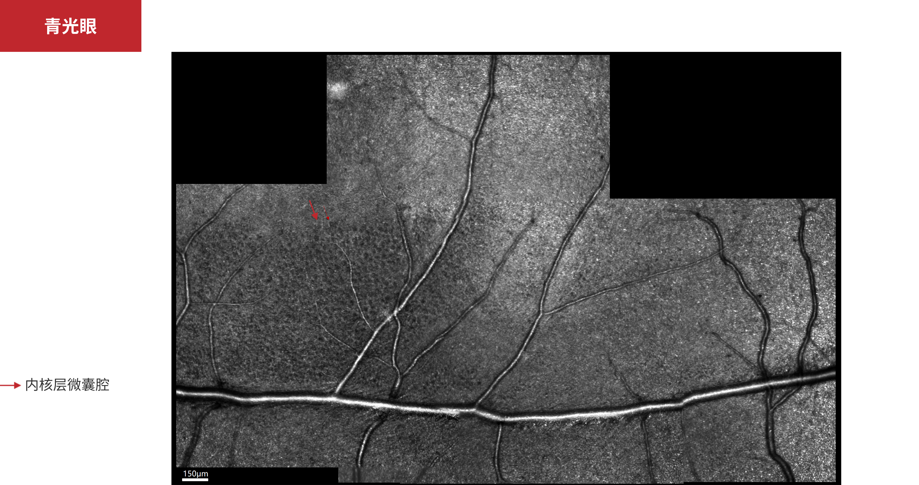
青光眼
糖尿病视网膜病变
视网膜色素变性
羟氯喹毒性视网膜病变
光损伤
精准治疗
可视化微脉冲治疗
中心性浆液性脉络膜视网膜病变(CSC)
中心性浆液性脉络膜视网膜病变(CSC)、PED
Coat's合并黄斑水肿
靶向精准激光治疗
息肉状脉络膜血管病变(PCV)
中心性浆液性脉络膜视网膜病变(CSC)
糖尿病视网膜病变(DR)
导航激光连续脉冲治疗
糖尿病视网膜病变(DR)
科研
荧光图像
视网膜脱离
视网膜色素变性
脉络膜新生血管
视网膜血管瘤样增生
葡萄膜炎
联系我们
EN
Functions
Diseases